Hello
Thank you so much for your prayers and support. We are grateful.
As mentioned in our last update, we wanted to write about the dental team that came to serve the river community outside of Belem. As you are aware, CDR is our community outreach center that we have been running for over 20 years. CDR has been a great branch of the church to glorify Jesus’ name. We had two teams of dentists come and serve for the two-week outreach. They slept at a local school and on the boat. The dentists, who came from many different states in Brazil, were shocked by the poor condition of the people’s teeth and their overall health.

During the 2 weeks, the project served 331 people and performed close to 900 procedures with restorations and extractions. Unfortunately, there were a total of 267 extractions due to the poor condition of teeth.
We did not serve as many people as we have in the past, but the procedures that needed to be completed were more complicated than in years past. Many people arrived with lots of infections in their mouths, and there were many cases of AIDS.





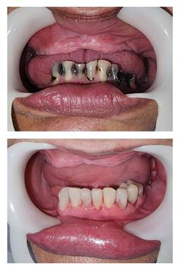
We were also able to provide dentures for 50 people along the river. We had a 4-person team working all day and night to make dentures. We took molds of the person’s mouth and then created the denture a day or two later. It was a monumental task, but they achieved their goal, and as you can see, the results were terrific.

In addition to the dental treatment on the boat. We had a team of dentists go to the local school along the river and teach the importance of dental care. Then we gave each student a dental kit and a fluoride treatment.

It was such a blessing to the community. Many people could not believe how professional and friendly they were treated. These projects have been beneficial as we continue to build up the church in Belem.
Next month, we will be sharing about the team that came to share the Gospel and distribute water filters.
We thank you and appreciate your continued prayers:
Please pray for our family.
Please pray for our spiritual, physical, mental, emotional, and financial health.
Please pray that we can find permanent land and buildings in Belem.
Much love, Steve, Elba, Camilly, and Alyssa

Please click the donate button to make a secure online tax-deductible donation:
Or you can send a check to Xingu Mission at the below address:

If you want to unsubscribe from this email, please reply with “Unsubscribe,” and I will remove you. Thanks

